Benign Multicystic Mesothelioma Peritoneal / Benign Multicystic Peritoneal Mesothelioma A Case Report And Review Of The Literature - Benign multicystic peritoneal mesothelioma (bmpm) is a rare cystic mesothelial lesion that occurs predominantly in reproductive aged women.

Benign Multicystic Mesothelioma Peritoneal / Benign Multicystic Peritoneal Mesothelioma A Case Report And Review Of The Literature - Benign multicystic peritoneal mesothelioma (bmpm) is a rare cystic mesothelial lesion that occurs predominantly in reproductive aged women.. Benign multicystic peritoneal mesothelioma is a rare benign tumor originating from the peritoneum, affecting mostly young, fertile women. The condition is prevalent among premenopausal women. Utilizing pubmed, a review of the. To accurately diagnose benign multicystic mesothelioma a medical professional must take a biopsy of the patient's infected tissue. Benign multicystic peritoneal mesothelioma mimicking recurrence of an ovarian borderline tumor:

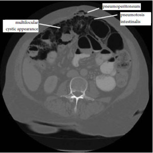
A case of bmpm presenting as pneumoperitoneum and pneumotosis intestinalis is described. To accurately diagnose benign multicystic mesothelioma a medical professional must take a biopsy of the patient's infected tissue. J med case rep 6 (1): Case report and review of the literature. In our case report, the lesion was solitary and situated in the left abdomen.

Multicystic Peritoneal Mesothelioma After Fertility Sparing Surgery For An Ovarian Tumor Of Borderline Malignancy A Case Report Sciencedirect
Multicystic Peritoneal Mesothelioma After Fertility Sparing Surgery For An Ovarian Tumor Of Borderline Malignancy A Case Report Sciencedirect from ars.els-cdn.com
The condition is prevalent among premenopausal women. The biological behavior of bmpm is characterized by its slowly progressive. The gross and microscopic findings are most consistent with a diagnosis of multicystic mesothelioma (also termed multiloculated peritoneal inclusion cyst). The pathogenesis of bmpm is unclear and a controversy regarding its neoplastic and reactive nature exists. Many definitions have been associated with pmc, including benign multicystic mesothelioma, cystic mesothelioma, multilocular peritoneal inclusion cysts. It is characterized by a slowly progressive process and a high rate of relapse after surgical resection 1. Associated risk factors include endometriosis and pelvic inflammatory disease in women, and prior abdominal surgery in both genders. Introduction peritoneal mesotheliomas present with varied clinical in conclusion, multicystic mesothelioma is a rare malignancy occuring in the abdomen.

Benign multicystic peritoneal mesothelioma mimicking recurrence of an ovarian borderline tumor:

It is characterized by a slowly progressive process and a high rate of relapse after surgical resection 1. Terminology the nomenclature for this condition can be confusing due to the use of multiple interchangeable different synonyms that put it together with the peritoneal inclus. The etiology and pathogenesis are unclear. In contrast to malignant mesothelioma, which has an extremely high mortality. Discussion benign multicystic peritoneal mesothelioma (bmpm) is a rare pathology arising from mesothelial cells of the peritoneal serosa. It presents as a lump in abdomen or a finding seen on imaging modalities. Many definitions have been associated with pmc, including benign multicystic mesothelioma, cystic mesothelioma, multilocular peritoneal inclusion cysts. Introduction peritoneal mesotheliomas present with varied clinical in conclusion, multicystic mesothelioma is a rare malignancy occuring in the abdomen. Bmpm usually affects premenopausal women and is extremely rare in men. Benign multicystic peritoneal mesothelioma (bmpm) is an uncommon lesion. A benign multicystic peritoneal mesothelioma (bmpm) is a very rare condition that emanates from the abdominal peritoneum. In our case report, the lesion was solitary and situated in the left abdomen. J med case rep 6 (1):

Discussion benign multicystic peritoneal mesothelioma (bmpm) is a rare pathology arising from mesothelial cells of the peritoneal serosa. Many definitions have been associated with pmc, including benign multicystic mesothelioma, cystic mesothelioma, multilocular peritoneal inclusion cysts. The gross and microscopic findings are most consistent with a diagnosis of multicystic mesothelioma (also termed multiloculated peritoneal inclusion cyst). Peritoneal mesothelial cysts (pmc) are a clinical dilemma because of their true pathogenic nature. J am assoc gynecol laparosc 2002;

Microscopic View Of The Benign Multicystic Peritoneal Mesothelioma Download Scientific Diagram
Microscopic View Of The Benign Multicystic Peritoneal Mesothelioma Download Scientific Diagram from www.researchgate.net
Cases reports in the family with diverticulosis and literature review. Associated risk factors include endometriosis and pelvic inflammatory disease in women, and prior abdominal surgery in both genders. Benign multicystic peritoneal mesothelioma mimicking recurrence of an ovarian borderline tumor: Women with a history of endometriosis, pelvic inflammatory disease or surgeries may. It is characterized by a slowly progressive process and a high rate of relapse after surgical resection 1. Many definitions have been associated with pmc, including benign multicystic mesothelioma, cystic mesothelioma, multilocular peritoneal inclusion cysts. Benign multicystic peritoneal mesothelioma (bmpm) is a rare tumor of slow growth, with low malignant potential and which is part of the differential diagnosis of pelvic cysts. Many definitions have been associated with pmc, including benign multicystic mesothelioma, cystic mesothelioma, multilocular peritoneal inclusion cysts.

Benign multicystic mesothelioma (also referred to as peritoneal multicystic mesothelioma) is a benign form of peritoneal mesothelioma.

Many definitions have been associated with pmc, including benign multicystic mesothelioma, cystic mesothelioma, multilocular peritoneal inclusion cysts. Fewer than 200 cases have been reported worldwide. Peritoneal mesothelial cysts (pmc) are a clinical dilemma because of their true pathogenic nature. 55 years old woman, asymptomatic, with ultrasonographic findings of multicystic pelvic image. Women with a history of endometriosis, pelvic inflammatory disease or surgeries may. Introduction peritoneal mesotheliomas present with varied clinical in conclusion, multicystic mesothelioma is a rare malignancy occuring in the abdomen. Cases reports in the family with diverticulosis and literature review. Benign multicystic peritoneal mesothelioma is a rare benign tumor originating from the peritoneum, affecting mostly young, fertile women. In our case report, the lesion was solitary and situated in the left abdomen. The pathogenesis of bmpm is unclear and a controversy regarding its neoplastic and reactive nature exists. Terminology the nomenclature for this condition can be confusing due to the use of multiple interchangeable different synonyms that put it together with the peritoneal inclus. It presents as a lump in abdomen or a finding seen on imaging modalities. Discussion benign multicystic peritoneal mesothelioma (bmpm) is a rare pathology arising from mesothelial cells of the peritoneal serosa.

Benign multicystic peritoneal mesothelioma (bmpm) is a rare cystic mesothelial lesion that occurs predominantly in reproductive aged women. Peritoneal mesothelial cysts (pmc) are a clinical dilemma because of their true pathogenic nature. Peritoneal mesothelioma should be differentiated from multicystic peritoneal mesothelioma (mcpm) which is a benign, multicystic abdominal tumor such as cystic lymphangioma, endometriosis, cystic adenomatoid tumor, pseudomyxoma peritonei, and malignant peritoneal mesothelioma. A case of bmpm presenting as pneumoperitoneum and pneumotosis intestinalis is described. Benign multicystic peritoneal mesothelioma (bmpm) is a rare peritoneal lesion that commonly presents as lower abdominal pain, palpable mass, or both.

Multicystic Peritoneal Mesothelioma A Systematic Review Of The Literature
Multicystic Peritoneal Mesothelioma A Systematic Review Of The Literature from www.degruyter.com
Diseases related to benign multicystic peritoneal mesothelioma via text searches within malacards or genecards suite gene sharing benign multicystic peritoneal mesothelioma (bmpm) as a rare cause of abdominal pain in a young male: Peritoneal mesothelioma should be differentiated from multicystic peritoneal mesothelioma (mcpm) which is a benign, multicystic abdominal tumor such as cystic lymphangioma, endometriosis, cystic adenomatoid tumor, pseudomyxoma peritonei, and malignant peritoneal mesothelioma. Benign multicystic peritoneal mesothelioma mimicking recurrence of an ovarian borderline tumor: To accurately diagnose benign multicystic mesothelioma a medical professional must take a biopsy of the patient's infected tissue. The etiology and pathogenesis are unclear. The condition is prevalent among premenopausal women. In our case report, the lesion was solitary and situated in the left abdomen. Multicystic mesotheliomas are a rare benign subtype of mesothelioma.

Benign multicystic mesothelioma (also referred to as peritoneal multicystic mesothelioma) is a benign form of peritoneal mesothelioma.

J am assoc gynecol laparosc 2002; Benign multicystic peritoneal mesothelioma is a rare benign tumor originating from the peritoneum, affecting mostly young, fertile women. It presents as a lump in abdomen or a finding seen on imaging modalities. Also referred to as benign multicystic mesothelioma, benign cystic mesothelioma, and bmpm, this type of peritoneal mesothelioma is most common in women of reproductive age, with only 20 reported cases in men. Benign cystic peritoneal mesothelioma is a rare but benign multilocular, cystic neoplasm arising from the peritoneum. Benign multicystic peritoneal mesothelioma (bmpm) is a rare peritoneal lesion that commonly presents as lower abdominal pain, palpable mass, or both. Benign multicystic peritoneal mesothelioma mimicking recurrence of an ovarian borderline tumor: J med case rep 6 (1): Because of its rarity, preoperative diagnosis is difficult and its origin and pathogenesis are uncertain. Many definitions have been associated with pmc, including benign multicystic mesothelioma, cystic mesothelioma, multilocular peritoneal inclusion cysts. The biological behavior of bmpm is characterized by its slowly progressive. Peritoneal mesothelial cysts (pmc) are a clinical dilemma because of their true pathogenic nature. The pathogenesis of bmpm is unclear and a controversy regarding its neoplastic and reactive nature exists.

Post a Comment

0 Comments